

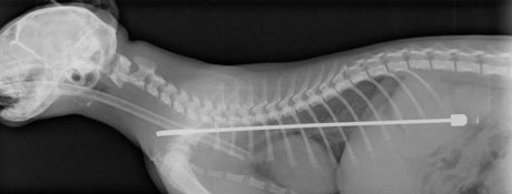
Mintha csak David Cronenberg rendezett volna egy internetes mémet, úgy írta meg a Guardian, hogy Alphie a sheffieldi cica, aki naponta több megbabonázott órát töltött a televízió előtt, egy nap lenyelte a készülék 15 centis antennáját.

Alphie persze azóta már jól van, mint a kép is mutatja, sikerült kioperálni belőle fémdarabot. A sheffieldi állatorvos nem is látott még ilyen esetet, a legközelebbi az volt, amikor egy kutya lenyelt egy sátorpecket.